Khám phá bảng giá trám răng cửa tại nha khoa Parkway cập nhật mới nhất 2025. Tìm hiểu chi tiết các dịch vụ, ưu điểm, quy trình và lưu ý quan trọng khi lựa chọn trám răng cửa thẩm mỹ tại Parkway. Thông tin đầy đủ, chính xác, giúp bạn an tâm lựa chọn giải pháp bảo vệ nụ cười.
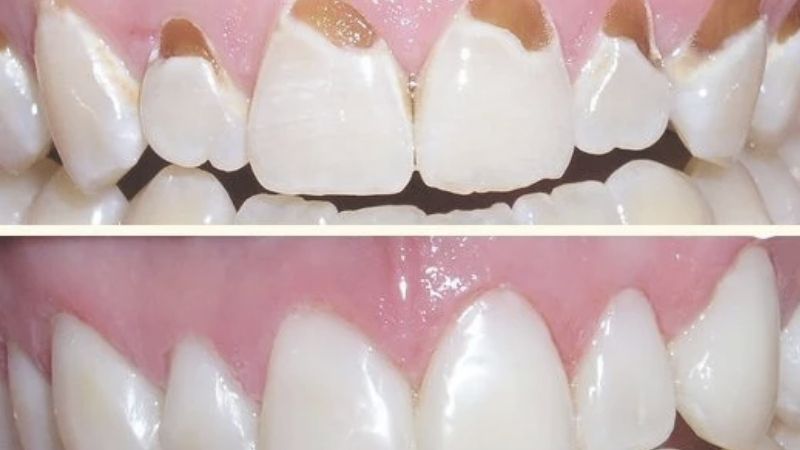
Trong lĩnh vực nha khoa ngày nay, dịch vụ trám răng đã trở thành một trong những phương pháp phổ biến để khắc phục các vấn đề về răng miệng như sâu răng, răng sứt mẻ, hoặc tổn thương do va đập. Đặc biệt, răng cửa đóng vai trò quan trọng trong việc thẩm mỹ và chức năng ăn nhai của mỗi người. Vì vậy, việc cập nhật bảng giá trám răng cửa tại nha khoa Park Way là điều cần thiết để khách hàng có thể chuẩn bị tài chính phù hợp và lựa chọn dịch vụ phù hợp với nhu cầu của mình. Trong bài viết này, chúng tôi sẽ cung cấp thông tin chi tiết về bảng giá mới nhất, các loại vật liệu trám phổ biến, quy trình thực hiện, cũng như những lợi ích khi chọn dịch vụ trám răng tại Nha Khoa Park Way.

Tại sao nên chọn nha khoa Park Way để trám răng cửa?
Nha khoa Park Way nổi bật với công nghệ trám răng laser, giúp tăng cường độ kết dính và giảm đau trong quá trình thực hiện. Hơn nữa, nơi đây cung cấp dịch vụ chất lượng cao với giá cả hợp lý, đáp ứng nhu cầu thẩm mỹ và sức khỏe răng miệng của khách hàng.
- Uy tín và chất lượng dịch vụ
Nha Khoa Park Way nổi bật với đội ngũ bác sĩ giàu kinh nghiệm, trang thiết bị tiên tiến và môi trường điều trị chuyên nghiệp. Chúng tôi cam kết mang lại dịch vụ tốt nhất, giúp khách hàng yên tâm về độ an toàn và hiệu quả của quá trình trám răng.
- Công nghệ hiện đại và vật liệu an toàn
Chúng tôi sử dụng công nghệ trám tiên tiến cùng các loại vật liệu trám chất lượng cao, đảm bảo tính thẩm mỹ và bền lâu. Đặc biệt, vật liệu trám tại Nha Khoa Park Way đều đã được kiểm định an toàn, phù hợp với tiêu chuẩn y tế quốc tế.
- Chi phí cạnh tranh, bảng giá minh bạch
Chúng tôi luôn cập nhật bảng giá rõ ràng, cạnh tranh trên thị trường, giúp khách hàng dễ dàng lựa chọn dịch vụ phù hợp với ngân sách của mình mà vẫn đảm bảo chất lượng.
Bảng giá trám răng cửa tại Parkway năm 2025
Dưới đây là bảng giá mới nhất cho các dịch vụ trám răng cửa tại nha khoa Parkway trong năm 2025. Giá có thể thay đổi tùy theo tình trạng răng và vật liệu sử dụng.
| Dịch vụ trám răng cửa | Giá tham khảo (VNĐ) | Đơn vị |
| Trám răng thẩm mỹ (Composite cao cấp) | 400 | 1 răng |
| Hàn trám răng thẩm mỹ đóng kín khe hở, phục hình mẻ góc | 900 | 1 răng |
Lưu ý: Giá trên chưa bao gồm các chương trình ưu đãi và có thể thay đổi sau khi khám trực tiếp.
Các loại dịch vụ trám răng cửa phổ biến
1. Trám răng cửa thẩm mỹ bằng composite
Sử dụng vật liệu composite cao cấp, có màu sắc tự nhiên, bền chắc và an toàn.
Phù hợp với các trường hợp răng cửa bị sứt mẻ nhỏ, thưa nhẹ, mòn men hoặc sâu răng nhẹ.
2. Trám răng cửa đóng kín khe hở, phục hình mẻ góc
Dành cho răng cửa thưa, mẻ lớn hoặc cần phục hồi thẩm mỹ tối ưu.
Yêu cầu kỹ thuật cao và vật liệu chất lượng để đảm bảo độ bám dính và thẩm mỹ.

Ưu điểm khi trám răng cửa tại Parkway
Bác sĩ chuyên môn cao: Đội ngũ bác sĩ giàu kinh nghiệm, thao tác chính xác và an toàn.
Vật liệu chất lượng: Sử dụng composite chính hãng, không gây kích ứng, tuổi thọ cao.
Quy trình vô trùng nghiêm ngặt: Đảm bảo an toàn tuyệt đối cho khách hàng.
Chính sách bảo hành: Bảo hành miếng trám dài hạn, hỗ trợ xử lý miễn phí khi có vấn đề.
Cơ sở vật chất hiện đại: Trang thiết bị tiên tiến, không gian thoải mái, riêng tư.
Quy trình trám răng cửa tại Parkway
Khám và tư vấn: Bác sĩ kiểm tra tình trạng răng và tư vấn phương pháp phù hợp.
Vệ sinh răng miệng: Làm sạch vùng răng cần trám.
Gây tê (nếu cần): Giúp khách hàng không đau trong quá trình trám.
Trám răng: Tạo hình miếng trám theo răng thật, sử dụng đèn quang trùng hợp để cố định.
Kiểm tra và hoàn thiện: Điều chỉnh, đánh bóng miếng trám để đảm bảo thẩm mỹ và khớp cắn.
Lưu ý khi trám răng cửa
Chọn vật liệu trám chất lượng, tránh dịch vụ giá rẻ kém chất lượng.
Sau khi trám, tránh ăn nhai đồ cứng hoặc dính trong 24 giờ đầu.
Vệ sinh răng miệng kỹ càng và tái khám định kỳ.
Nếu có dấu hiệu đau, ê buốt hoặc miếng trám bong tróc, cần đến nha khoa kiểm tra ngay.
So sánh giá trám răng cửa Parkway với các nha khoa khác
| Nha khoa | Giá trám răng cửa (VNĐ) | Ghi chú |
| Parkway | 400.000 – 900.000 | Vật liệu cao cấp, bảo hành dài hạn |
| Kim | 210.000 – 410.000 | Giá mềm, vật liệu đa dạng |
| Paris | 300.000 – 700.000 | Công nghệ Laser Tech, nhiều lựa chọn |
| Thế Hệ Mới | Từ 300.000 | Phù hợp nhu cầu cơ bản |
Câu hỏi thường gặp
Trám răng cửa có đau không?
Quy trình được gây tê nhẹ, hầu như không đau. Có thể hơi ê nhẹ sau trám, sẽ hết trong 1-2 ngày.
Miếng trám răng cửa giữ được bao lâu?
Thông thường từ 3-5 năm hoặc lâu hơn nếu chăm sóc tốt.
Khi nào cần thay miếng trám?
Khi miếng trám bị bong, đổi màu hoặc gây khó chịu.
Có bảo hành dịch vụ trám răng không?
Nha khoa Parkway có chính sách bảo hành miếng trám, hỗ trợ xử lý miễn phí trong thời gian bảo hành.
Kết luận
Trám răng cửa tại nha khoa Parkway là giải pháp hiệu quả giúp phục hồi thẩm mỹ và chức năng răng cửa an toàn, bền lâu. Với mức giá từ 400.000 đến 900.000 VNĐ mỗi răng, dịch vụ tại Parkway đảm bảo chất lượng vật liệu, kỹ thuật chuyên môn và chế độ bảo hành tốt. Để được tư vấn chi tiết và hưởng ưu đãi, bạn nên liên hệ trực tiếp với nha khoa Parkway.
- Lần lộ diện mới nhất của Nam Thư: Ăn diện gợi cảm nhưng thần thái kém tươi
- Tử vi tuổi Tuất năm 2025: Sự nghiệp, tài vận, tình duyên và gia đạo
- Vành đai 3 qua Long An: Triển khai 2 gói thầu hơn 200 tỷ đồng
- Cách bố trí phòng ngủ chuẩn phong thủy cho người mệnh Hỏa
- 3 con giáp số hưởng: Đầu tháng 2 Âm lịch lộc lá tới tấp, giàu lên bất ngờ
