Cao răng gây khó chịu và tiềm ẩn nhiều nguy cơ cho sức khỏe răng miệng? Đừng chủ quan! Đến nha khoa tổng quát để loại bỏ cao răng, ngăn ngừa viêm nướu, sâu răng và hôi miệng. Duy trì sức khỏe răng miệng toàn diện, bảo vệ nụ cười rạng rỡ và tự tin.
Cao răng là gì?
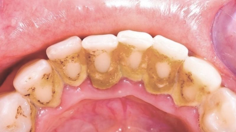
Cao răng là lớp mảng bám cứng chắc bám trên bề mặt răng, đặc biệt là vùng cổ răng và dưới nướu. Cao răng hình thành do sự tích tụ lâu ngày của mảng bám mềm chứa vi khuẩn, kết hợp với muối vô cơ trong nước bọt tạo thành lớp cứng, khó loại bỏ bằng cách đánh răng thông thường.

Nguyên nhân hình thành cao răng
Vệ sinh răng miệng không đúng cách: Đánh răng không kỹ hoặc không đều đặn tạo điều kiện cho mảng bám tích tụ.
Chế độ ăn uống nhiều đường, tinh bột: Thức ăn ngọt, dẻo dễ bám vào răng, tạo môi trường cho vi khuẩn phát triển.
Hút thuốc lá: Gây ố vàng và thúc đẩy quá trình hình thành cao răng.
Yếu tố sinh lý: Một số người có nước bọt chứa nhiều muối canxi, dễ hình thành cao răng.
Không đi khám và lấy cao răng định kỳ: Làm cho cao răng tích tụ ngày càng nhiều.
Tác hại của cao răng nếu không điều trị
Viêm nướu: Cao răng kích thích nướu gây viêm, sưng đỏ, chảy máu khi đánh răng.
Viêm nha chu: Vi khuẩn dưới cao răng phá hủy mô nâng đỡ răng, gây tụt nướu, tiêu xương hàm.
Hôi miệng: Vi khuẩn trong cao răng tạo mùi khó chịu.
Răng lung lay và mất răng: Khi viêm nha chu tiến triển nặng.
Ảnh hưởng thẩm mỹ: Cao răng làm răng xỉn màu, mất tự tin khi giao tiếp.
Khám nha khoa tổng quát là gì?
Khám nha khoa tổng quát là quy trình kiểm tra toàn diện sức khỏe răng miệng bao gồm:
Kiểm tra răng, nướu, mô mềm.
Xác định các bệnh lý như sâu răng, viêm nướu, viêm nha chu.
Chụp phim X-quang nếu cần thiết để đánh giá cấu trúc xương hàm và chân răng.
Tư vấn và lên kế hoạch điều trị phù hợp.
Khi bị cao răng có cần đi khám nha khoa tổng quát không?
Câu trả lời là có. Khi phát hiện cao răng, bạn nên đi khám nha khoa tổng quát để:
Đánh giá mức độ cao răng và tình trạng sức khỏe răng miệng tổng thể.
Phát hiện sớm các bệnh lý tiềm ẩn như viêm nướu, sâu răng, viêm nha chu.
Lên kế hoạch lấy cao răng và điều trị kịp thời.
Ngăn ngừa các biến chứng nghiêm trọng ảnh hưởng đến sức khỏe răng miệng.
Việc khám nha khoa tổng quát giúp bạn có cái nhìn toàn diện về tình trạng răng miệng, không chỉ xử lý cao răng mà còn bảo vệ sức khỏe lâu dài.
Lợi ích của việc khám nha khoa tổng quát khi có cao răng
Khám nha khoa tổng quát khi có cao răng mang lại nhiều lợi ích quan trọng. Việc này giúp làm sạch răng, loại bỏ mảng bám và vi khuẩn, ngăn ngừa các bệnh về nướu và hôi miệng.
1. Phát hiện sớm các bệnh lý răng miệng
Nha sĩ có thể phát hiện các dấu hiệu viêm nướu, sâu răng, áp xe hoặc các vấn đề khác chưa biểu hiện rõ ràng.
2. Lên kế hoạch điều trị hiệu quả
Dựa trên kết quả khám, bác sĩ sẽ tư vấn phương pháp lấy cao răng phù hợp, kết hợp điều trị các bệnh lý nếu có.
3. Đảm bảo an toàn và hiệu quả
Khám tổng quát giúp đảm bảo quá trình lấy cao răng diễn ra an toàn, tránh tổn thương nướu hoặc răng.
4. Tư vấn chăm sóc răng miệng đúng cách
Bác sĩ hướng dẫn bạn cách vệ sinh răng miệng phù hợp để hạn chế cao răng hình thành trở lại.

Quy trình khám nha khoa tổng quát và lấy cao răng
Bước 1: Khám tổng quát
Bác sĩ kiểm tra tổng thể răng, nướu, mô mềm và hỏi về tiền sử sức khỏe răng miệng.
Bước 2: Chụp phim X-quang (nếu cần)
Giúp đánh giá sâu hơn các vấn đề về xương hàm, chân răng và các vị trí cao răng khó nhìn thấy.
Bước 3: Lấy cao răng
Sử dụng máy siêu âm hoặc dụng cụ chuyên dụng để loại bỏ cao răng trên bề mặt răng và dưới nướu.
Bước 4: Đánh bóng răng
Làm mịn bề mặt răng sau khi lấy cao răng để hạn chế mảng bám tích tụ trở lại.
Bước 5: Tư vấn chăm sóc và hẹn lịch tái khám
Bác sĩ hướng dẫn cách chăm sóc răng miệng và lịch lấy cao răng định kỳ.
Cách chăm sóc răng miệng sau khi lấy cao răng
Đánh răng nhẹ nhàng 2 lần/ngày với bàn chải lông mềm.
Sử dụng chỉ nha khoa và nước súc miệng để làm sạch kẽ răng.
Tránh ăn đồ quá nóng, lạnh hoặc cứng trong vài ngày đầu.
Hạn chế hút thuốc lá và ăn đồ ngọt nhiều đường.
Uống nhiều nước và duy trì thói quen vệ sinh răng miệng đều đặn.
Khám nha khoa và lấy cao răng định kỳ 6 tháng/lần.
Lời khuyên phòng ngừa cao răng hiệu quả
Đánh răng đúng cách ít nhất 2 lần/ngày, kết hợp sử dụng chỉ nha khoa.
Thăm khám nha khoa định kỳ để lấy cao răng và phát hiện sớm bệnh lý.
Hạn chế đồ ăn chứa nhiều đường và tinh bột.
Uống nhiều nước để tăng tiết nước bọt giúp làm sạch khoang miệng tự nhiên.
Tránh hút thuốc lá và sử dụng các chất kích thích.
Giữ thói quen sinh hoạt lành mạnh và chăm sóc răng miệng khoa học.
Kết luận
Khi bị cao răng, việc đi khám nha khoa tổng quát là rất cần thiết để không chỉ loại bỏ mảng bám cứng đầu mà còn phát hiện và xử lý kịp thời các bệnh lý răng miệng liên quan. Khám nha khoa tổng quát giúp bạn bảo vệ sức khỏe răng miệng toàn diện, ngăn ngừa biến chứng và duy trì nụ cười khỏe đẹp lâu dài. Đừng chủ quan với cao răng, hãy chủ động thăm khám và chăm sóc răng miệng đúng cách để có hàm răng chắc khỏe và nụ cười tự tin.
Tham khảo: Nhakhoaparkway
- Không chỉ “xuống tóc” cắt đứt cuộc tình trái ngang, Ngọc Kem còn làm một việc được các chị em ủng hộ hết mình
- Mỹ nhân hát hay diễn đỉnh đến mức khiến khán giả ca ngợi hết lời, nhan sắc ngọt ngào như “búp bê sống”
- Đánh giá chi tiết máy lạnh LG Inverter 1 HP V10Win1
- Vì sao nhiều người lựa chọn quạt cây Panasonic
- Gợi ý các tiệm nail spa chất lượng chị em có thể tham khảo
