Nguyên nhân gây áp xe răng, dấu hiệu nhận biết và cách xử lý hiệu quả khi bị áp xe răng. Hướng dẫn chăm sóc và phòng ngừa áp xe răng để bảo vệ sức khỏe răng miệng toàn diện.
Áp xe răng là một trong những bệnh lý nha khoa phổ biến và gây ra nhiều phiền toái cho người bệnh. Nếu không được xử lý kịp thời, áp xe răng có thể dẫn đến những biến chứng nghiêm trọng ảnh hưởng đến sức khỏe tổng thể. Vậy nguyên nhân dẫn đến áp xe răng là gì? Khi bị áp xe răng cần làm thế nào để xử lý đúng cách? Bài viết này sẽ giúp bạn giải đáp chi tiết và cung cấp những kiến thức cần thiết để chăm sóc răng miệng hiệu quả.

Áp xe răng ở trẻ em là gì?
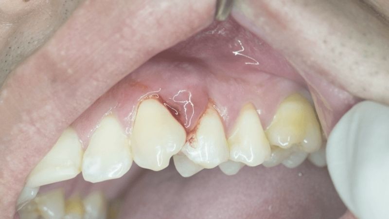
Áp xe răng là tình trạng nhiễm trùng cấp tính xảy ra tại vị trí quanh chân răng hoặc mô nướu, tạo thành túi mủ chứa vi khuẩn, mảnh vụn tế bào và dịch viêm. Ở trẻ em, áp xe răng thường xuất hiện do viêm tủy răng hoặc sâu răng không được điều trị đúng cách, dẫn đến vi khuẩn xâm nhập sâu vào bên trong cấu trúc. Áp xe răng ở trẻ em không chỉ gây đau đớn, khó chịu mà còn ảnh hưởng đến khả năng ăn uống, phát âm và sự phát triển của hàm răng vĩnh viễn sau này nếu không được xử lý kịp thời.
Nguyên nhân dẫn đến áp xe răng ở trẻ em
Áp xe răng ở trẻ em là một tình trạng nhiễm trùng gây tích tụ mủ và sưng tấy quanh răng hoặc trong vùng nướu, thường do các nguyên nhân sau đây:
1. Sâu răng không được điều trị triệt để
Sâu răng là nguyên nhân hàng đầu gây áp xe răng ở trẻ. Khi sâu răng tiến triển sâu vào tủy, vi khuẩn sẽ dễ dàng xâm nhập và gây viêm nhiễm, dẫn đến áp xe quanh chân răng.
2. Viêm tủy răng cấp hoặc mãn tính
Trẻ có thể bị viêm tủy do sâu răng hoặc chấn thương răng, làm tủy răng bị hoại tử và hình thành ổ mủ áp xe.
3. Vệ sinh răng miệng kém
Trẻ nhỏ thường chưa có thói quen đánh răng đúng cách, không sử dụng chỉ nha khoa hoặc nước súc miệng, tạo điều kiện cho vi khuẩn phát triển mạnh mẽ và gây viêm nhiễm.
4. Răng mọc lệch hoặc răng khôn mọc ngầm
Ở trẻ lớn, răng khôn hoặc răng mọc lệch có thể gây viêm lợi và áp xe tại vùng chân răng.
5. Chấn thương răng
Trẻ em thường hiếu động và dễ bị chấn thương răng miệng. Vết nứt hoặc vỡ răng tạo điều kiện cho vi khuẩn xâm nhập và gây viêm nhiễm.
6. Hệ miễn dịch yếu
Trẻ có hệ miễn dịch kém hoặc mắc một số bệnh lý nền sẽ có nguy cơ cao bị nhiễm trùng răng miệng, trong đó có áp xe răng.
Dấu hiệu nhận biết áp xe răng ở trẻ em
Dấu hiệu nhận biết áp xe răng ở trẻ em thường gồm các triệu chứng sau đây:
1. Đau nhức răng dữ dội
Trẻ có thể quấy khóc, không chịu ăn uống do đau răng, đặc biệt khi nhai hoặc chạm vào vùng răng bị áp xe.
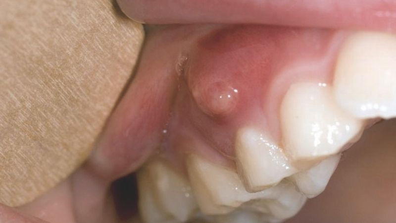
2. Sưng tấy vùng má hoặc nướu
Khu vực quanh răng bị áp xe thường sưng đỏ, có thể nhìn thấy một hoặc nhiều ổ mủ nhỏ màu trắng hoặc vàng.
3. Hơi thở có mùi hôi
Viêm nhiễm và mủ trong ổ áp xe khiến hơi thở của trẻ có mùi khó chịu.
4. Sốt và mệt mỏi
Trong trường hợp áp xe nặng, trẻ có thể bị sốt cao, mệt mỏi, khó chịu toàn thân.
5. Răng lung lay hoặc có cảm giác căng tức
Răng bị áp xe có thể lung lay do tổn thương các mô nâng đỡ quanh răng.
6. Trẻ có thể có biểu hiện chán ăn, khó ngủ
Do đau nhức và khó chịu, trẻ thường mất ngủ và ăn uống kém.
Làm thế nào khi trẻ bị áp xe răng?
Khi trẻ bị áp xe răng, việc xử lý đúng cách là rất quan trọng để giảm đau, ngăn ngừa biến chứng và thúc đẩy quá trình hồi phục. Dưới đây là các bước cần thực hiện:
1. Đưa trẻ đến nha khoa càng sớm càng tốt
Khi phát hiện trẻ có dấu hiệu áp xe răng, cần đưa trẻ đến cơ sở nha khoa uy tín để được bác sĩ thăm khám và điều trị kịp thời.
2. Không tự ý nặn mủ hoặc dùng thuốc không theo chỉ định
Việc tự ý nặn mủ có thể khiến vi khuẩn lan rộng, gây nhiễm trùng nghiêm trọng hơn. Thuốc kháng sinh và giảm đau chỉ nên dùng theo hướng dẫn của bác sĩ chuyên khoa.
3. Giữ vệ sinh răng miệng nhẹ nhàng cho trẻ
Hướng dẫn trẻ đánh răng nhẹ nhàng, sử dụng nước súc miệng phù hợp với trẻ em để làm sạch khoang miệng mà không gây tổn thương vùng áp xe.
4. Hỗ trợ giảm đau tạm thời
Có thể dùng khăn lạnh chườm ngoài vùng má để giảm sưng đau cho trẻ, giúp trẻ dễ chịu hơn trước khi đến nha khoa.
5. Theo dõi sát sao tình trạng sức khỏe của trẻ
Nếu trẻ có dấu hiệu sốt cao, sưng mặt lan rộng hoặc khó thở, cần đưa trẻ đến bệnh viện ngay lập tức để được xử lý kịp thời.
Phương pháp điều trị áp xe răng cho trẻ em
1. Rạch dẫn lưu mủ
Bác sĩ sẽ tiến hành rạch một đường nhỏ để thoát mủ, giảm áp lực và giảm đau cho trẻ.
2. Điều trị tủy răng
Nếu áp xe xuất phát từ viêm tủy, bác sĩ sẽ tiến hành điều trị tủy để loại bỏ vi khuẩn và bảo tồn răng.
3. Nhổ răng trong trường hợp cần thiết
Nếu răng bị tổn thương nặng, không thể phục hồi, bác sĩ sẽ chỉ định nhổ răng để tránh lây lan nhiễm trùng.
4. Sử dụng thuốc kháng sinh
Thuốc kháng sinh sẽ được kê toa để kiểm soát nhiễm trùng và ngăn ngừa vi khuẩn phát triển thêm.
5. Tái khám và theo dõi
Trẻ cần được tái khám nha khoa trẻ em định kỳ để đảm bảo quá trình điều trị thành công và không tái phát.

Cách chăm sóc và phòng ngừa áp xe răng cho trẻ
Để chăm sóc và phòng ngừa áp xe răng ở trẻ em, bạn có thể thực hiện các biện pháp sau:
1. Hướng dẫn trẻ vệ sinh răng miệng đúng cách
Dạy trẻ đánh răng ít nhất 2 lần mỗi ngày với bàn chải lông mềm và kem đánh răng có fluoride phù hợp với độ tuổi.
2. Sử dụng chỉ nha khoa và nước súc miệng cho trẻ
Giúp trẻ làm sạch kẽ răng, loại bỏ mảng bám và vi khuẩn hiệu quả hơn.
3. Khám răng định kỳ
Đưa trẻ đi khám và lấy cao răng định kỳ 6 tháng/lần để phát hiện sớm các vấn đề răng miệng.
4. Kiểm soát chế độ ăn uống
Hạn chế cho trẻ ăn nhiều đồ ngọt, nước ngọt có gas và thức ăn dẻo gây sâu răng.
5. Khuyến khích trẻ uống nhiều nước lọc
Giúp làm sạch khoang miệng tự nhiên và kích thích tiết nước bọt bảo vệ răng.
6. Tránh để trẻ sử dụng đồ vật cứng hoặc nhai các vật không phù hợp
Giúp ngăn ngừa chấn thương răng miệng không cần thiết.
Kết luận
Áp xe răng ở trẻ em là tình trạng nhiễm trùng nghiêm trọng cần được phát hiện và xử lý kịp thời để tránh các biến chứng nguy hiểm ảnh hưởng đến sức khỏe răng miệng và sự phát triển của trẻ. Hiểu rõ nguyên nhân dẫn đến áp xe răng ở trẻ em và biết cách xử lý đúng đắn khi trẻ bị áp xe sẽ giúp cha mẹ bảo vệ sức khỏe răng miệng cho con em mình hiệu quả hơn. Việc duy trì thói quen vệ sinh răng miệng khoa học, khám răng định kỳ và điều trị sớm các bệnh lý nha khoa là chìa khóa để ngăn ngừa áp xe răng và giữ cho nụ cười trẻ thơ luôn khỏe mạnh, tươi sáng.
Tham khảo: Nhakhoaparkway
- Điều chỉnh thời gian hoàn thành cầu Bến Mới nối Nam Định – Ninh Bình
- Ca sỹ Anh Thơ làm live show tri ân quê hương, lần đầu diễn hài cùng nghệ sỹ Xuân Hinh
- Sở GTVT tiếp tục sát hạch, cấp đổi giấy phép lái xe
- Phim Hoa ngữ chiếu 3 năm đột nhiên hot rần rần: Cặp chính yêu từ hiện đại tới cổ trang gây sốt MXH
- 120 triệu người sốc trước thân hình của Địch Lệ Nhiệt Ba khi lần đầu mặc áo tắm
