Niềng răng hô có đau không? Niềng răng hô mất bao nhiêu tiền? Tìm hiểu chi tiết về quá trình niềng răng, mức độ đau nhức, chi phí và lời khuyên giúp bạn chuẩn bị tốt nhất cho hành trình chỉnh nha.
Răng hô là một trong những khuyết điểm phổ biến gây mất thẩm mỹ và ảnh hưởng đến chức năng ăn nhai. Niềng răng hô là giải pháp hiệu quả để khắc phục tình trạng này, giúp bạn sở hữu nụ cười đẹp tự nhiên và cải thiện sức khỏe răng miệng. Tuy nhiên, vấn đề được nhiều người quan tâm là niềng răng hô có đau không? và niềng răng hô mất bao nhiêu tiền? Bài viết này sẽ cung cấp cho bạn câu trả lời chi tiết, giúp bạn hiểu rõ hơn về quá trình niềng răng và chuẩn bị tốt khi thực hiện.

Răng hô là gì?
Răng hô là tình trạng răng hàm trên bị chìa ra ngoài so với hàm dưới, gây mất cân đối khuôn mặt và ảnh hưởng đến thẩm mỹ. Răng hô không chỉ làm bạn thiếu tự tin khi cười mà còn có thể gây khó khăn trong việc ăn nhai và phát âm.
Tình trạng hô có thể do răng hoặc do hàm, hoặc kết hợp cả hai. Việc xác định nguyên nhân sẽ giúp bác sĩ lựa chọn phương pháp điều trị phù hợp.
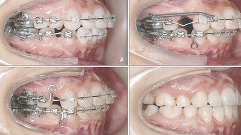
Niềng răng hô là gì?
Niềng răng hô là phương pháp chỉnh nha sử dụng các khí cụ như mắc cài, dây cung, hay khay niềng trong suốt để dịch chuyển răng về vị trí chuẩn, giúp cân đối lại khớp cắn và cải thiện thẩm mỹ khuôn mặt.
Niềng răng hô không phẫu thuật, an toàn và hiệu quả cao nếu được thực hiện tại nha khoa uy tín với bác sĩ chuyên môn.
Niềng răng hô có đau không?
Đây là câu hỏi được rất nhiều bệnh nhân quan tâm trước khi quyết định niềng răng. Thực tế, niềng răng hô có thể gây ra cảm giác đau nhức, khó chịu, đặc biệt trong những ngày đầu hoặc sau mỗi lần điều chỉnh mắc cài.
Nguyên nhân gây đau khi niềng răng hô:
Sức kéo của dây cung và mắc cài tạo lực dịch chuyển răng, gây áp lực lên dây thần kinh và mô quanh răng.
Kích ứng mô mềm trong miệng do mắc cài, dây cung cọ vào má, môi hoặc lưỡi.
Mỗi lần siết dây cung, răng sẽ có cảm giác ê buốt nhẹ đến vừa phải trong vài ngày.
Mức độ đau nhức thường không quá nghiêm trọng và giảm dần theo thời gian khi răng đã quen với lực kéo.
Cách giảm đau khi niềng răng hô
Sử dụng thuốc giảm đau: Theo hướng dẫn của bác sĩ, bạn có thể dùng thuốc giảm đau như paracetamol hoặc ibuprofen.
Dùng sáp chỉnh nha: Bôi sáp lên các mắc cài hoặc dây cung gây kích ứng để giảm ma sát với mô mềm.
Ăn thức ăn mềm, nguội: Tránh đồ ăn cứng, dai hoặc quá nóng lạnh trong những ngày đầu niềng.
Vệ sinh răng miệng sạch sẽ: Giúp tránh viêm nhiễm và làm dịu các tổn thương.
Massage nhẹ nhàng vùng lợi: Giúp tăng tuần hoàn máu và giảm đau.
Tham khảo ý kiến bác sĩ: Nếu đau quá mức hoặc kéo dài, cần tái khám để bác sĩ điều chỉnh lực kéo phù hợp.
Niềng răng hô mất bao nhiêu tiền?
Chi phí niềng răng phụ thuộc vào nhiều yếu tố như phương pháp niềng, mức độ hô, địa chỉ nha khoa và thời gian điều trị. Dưới đây là bảng giá tham khảo phổ biến tại Việt Nam:
| Phương pháp niềng răng hô | Giá tham khảo (VNĐ) | Thời gian điều trị |
| Niềng răng mắc cài kim loại | 25.000.000 – 40.000.000 | 18-24 tháng |
| Niềng răng mắc cài sứ | 40.000.000 – 60.000.000 | 18-24 tháng |
| Niềng răng trong suốt Invisalign | 70.000.000 – 120.000.000 | 12-24 tháng |
| Niềng răng mắc cài tự buộc | 50.000.000 – 80.000.000 | 18-24 tháng |
Các yếu tố ảnh hưởng đến chi phí niềng răng hô
Mức độ hô và phức tạp của ca niềng: Hô nặng, lệch khớp cắn phức tạp sẽ tốn thời gian và chi phí hơn.
Phương pháp niềng: Niềng mắc cài kim loại thường rẻ hơn niềng mắc cài sứ hoặc niềng trong suốt.
Địa chỉ nha khoa: Nha khoa uy tín, bác sĩ chuyên môn cao và trang thiết bị hiện đại thường có mức giá cao hơn.
Thời gian điều trị: Thời gian niềng càng lâu thì chi phí càng tăng do cần tái khám, điều chỉnh nhiều lần.
Dịch vụ đi kèm: Chi phí chụp X-quang, lấy mẫu răng, vệ sinh răng miệng và các dịch vụ hỗ trợ cũng ảnh hưởng đến tổng chi phí.

Quy trình niềng răng hô
Khám và tư vấn: Bác sĩ kiểm tra tình trạng răng, chụp X-quang và lấy dấu răng để lên kế hoạch điều trị.
Lắp mắc cài hoặc khay niềng: Gắn khí cụ chỉnh nha phù hợp với từng phương pháp.
Điều chỉnh định kỳ: Tái khám và siết dây cung hoặc thay khay niềng theo lịch để răng dịch chuyển dần.
Theo dõi tiến trình: Đánh giá mức độ dịch chuyển và điều chỉnh kế hoạch nếu cần.
Tháo niềng và đeo hàm duy trì: Sau khi kết thúc quá trình niềng, đeo hàm duy trì để giữ kết quả ổn định.
Lưu ý quan trọng khi niềng răng hô
Tuân thủ lịch tái khám để bác sĩ theo dõi và điều chỉnh kịp thời.
Vệ sinh răng miệng kỹ càng, sử dụng bàn chải kẽ và chỉ nha khoa để tránh sâu răng, viêm lợi.
Hạn chế ăn đồ cứng, dai, dễ dính mắc cài.
Tránh thói quen xấu như cắn móng tay, nghiến răng.
Thông báo ngay với bác sĩ nếu có dấu hiệu đau nhức bất thường hoặc mắc cài bị bung.
Câu hỏi thường gặp về niềng răng hô
1. Niềng răng hô mất bao lâu?
Thời gian niềng trung bình từ 18 đến 24 tháng, có thể dài hơn tùy vào mức độ hô và phương pháp niềng.
2. Niềng răng hô có đau không?
Có thể có cảm giác ê buốt, khó chịu trong vài ngày đầu hoặc sau mỗi lần điều chỉnh, nhưng mức độ đau thường nhẹ và giảm dần.
3. Niềng răng hô có làm ảnh hưởng đến sinh hoạt hàng ngày không?
Ban đầu có thể khó ăn uống và nói chuyện nhưng sau một thời gian bạn sẽ quen dần.
4. Niềng răng hô có cần đeo hàm duy trì không?
Có, đeo hàm duy trì giúp giữ răng ở vị trí mới, tránh tái phát.
Kết luận
Niềng răng hô là phương pháp hiệu quả giúp bạn khắc phục tình trạng răng hô, cải thiện thẩm mỹ và chức năng ăn nhai. Quá trình niềng có thể gây đau nhẹ nhưng hoàn toàn có thể kiểm soát được với sự hỗ trợ của bác sĩ và các biện pháp giảm đau. Chi phí niềng răng hô phụ thuộc vào nhiều yếu tố như phương pháp niềng, mức độ hô và địa chỉ nha khoa.
Để có kết quả tốt nhất, bạn nên chọn nha khoa uy tín, bác sĩ có kinh nghiệm và tuân thủ đúng hướng dẫn trong suốt quá trình niềng. Hãy chuẩn bị tâm lý và tài chính kỹ càng để hành trình niềng răng diễn ra suôn sẻ, giúp bạn sở hữu nụ cười rạng rỡ, tự tin hơn trong cuộc sống.
Tham khảo: Nhakhoaparkway
- Một nữ nghệ sĩ quyết không nhập tịch Đức vì bị bắt thôi quốc tịch Việt Nam: “Tôi vẫn yêu Việt Nam”
- Mỹ nhân Hàn viral khắp MXH vì gầy đáng báo động, cổ tay “nhỏ như xương gà” ai thấy cũng xót
- Show có một ông trùm biến thái: Ép 50 nữ diễn viên khỏa thân casting, làm con rối mua vui cho ông lớn trong dạ tiệc
- Võ Cảnh có động thái ngầm xác nhận là nam chính trong màn khoe nhẫn của Thúy Ngân?
- Dự án đường nối Trần Quốc Hoàn – Cộng Hòa dự kiến thông xe trước 20/4
