Sâu răng nhẹ là giai đoạn đầu của tổn thương men răng, thường không gây đau nhưng nếu không điều trị kịp thời sẽ tiến triển nặng hơn. Cùng tìm hiểu dấu hiệu nhận biết và cách điều trị hiệu quả tình trạng sâu răng nhẹ trong bài viết sau.
Sức khỏe răng miệng đóng vai trò vô cùng quan trọng trong việc duy trì chất lượng cuộc sống. Tuy nhiên, không ít người thường chủ quan với các triệu chứng ban đầu của sâu răng, đặc biệt là ở giai đoạn sâu răng nhẹ. Đây là thời điểm “vàng” để can thiệp điều trị đơn giản và tiết kiệm, trước khi tổn thương tiến triển thành sâu răng nặng, gây đau nhức dữ dội hoặc mất răng vĩnh viễn.
Trong bài viết hôm nay, chúng ta sẽ cùng tìm hiểu sâu hơn về sâu răng nhẹ: dấu hiệu nhận biết và cách điều trị đúng cách nhằm bảo vệ hàm răng luôn chắc khỏe.
Hiểu đúng về sâu răng nhẹ
Sâu răng nhẹ hay còn gọi là sâu men là giai đoạn đầu của quá trình sâu răng, khi lớp men răng – lớp ngoài cùng và cứng nhất của răng – bắt đầu bị hủy khoáng. Ở giai đoạn này, vi khuẩn có trong mảng bám răng phân hủy đường và tinh bột còn sót lại, tạo ra axit ăn mòn men răng từng chút một.
Điểm đặc biệt của sâu răng nhẹ là tình trạng này thường diễn ra âm thầm, không gây đau hay ê buốt rõ rệt, khiến người bệnh dễ dàng bỏ qua. Tuy nhiên, nếu được phát hiện sớm, tình trạng sâu men có thể được điều trị nhanh chóng, thậm chí có thể hồi phục bằng biện pháp tái khoáng hóa mà không cần khoan trám.
Nguyên nhân gây sâu răng nhẹ
Có nhiều yếu tố góp phần vào quá trình hình thành sâu răng nhẹ, trong đó có thể kể đến các nguyên nhân chính sau:
- Vệ sinh răng miệng kém: Đây là nguyên nhân phổ biến nhất. Khi không chải răng đúng cách hoặc không sử dụng chỉ nha khoa, các mảng bám và vi khuẩn tích tụ lâu ngày sẽ hình thành axit, ăn mòn men răng.
- Thói quen ăn uống nhiều đường: Vi khuẩn trong khoang miệng sẽ chuyển hóa đường thành axit – chất trực tiếp làm suy yếu men răng.
- Thiếu fluor: Fluor là khoáng chất giúp răng chống lại sự tấn công của axit. Nếu chế độ ăn hoặc nguồn nước thiếu fluor, răng sẽ dễ bị sâu hơn.
- Khô miệng: Nước bọt giúp trung hòa axit trong miệng và rửa trôi vi khuẩn. Nếu tuyến nước bọt hoạt động kém, nguy cơ sâu răng cũng sẽ tăng.

Những dấu hiệu nhận biết sâu răng nhẹ
Ở giai đoạn sâu men, các dấu hiệu không quá rõ rệt nhưng vẫn có thể nhận biết nếu bạn chú ý. Dưới đây là những biểu hiện sớm của sâu răng nhẹ:
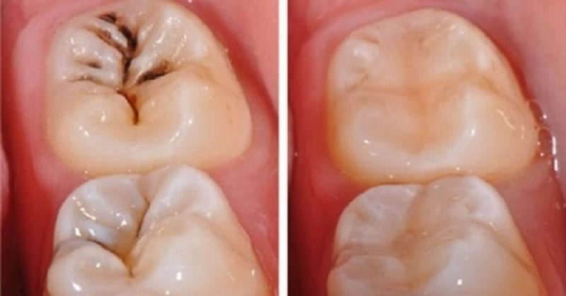
Xuất hiện đốm trắng đục trên bề mặt răng
Đây là dấu hiệu đầu tiên và phổ biến nhất của sâu răng nhẹ. Những đốm này là kết quả của quá trình mất khoáng, thường xuất hiện ở các vị trí khó làm sạch như mặt trong răng hàm, kẽ răng hoặc gần nướu. Khi nhìn dưới ánh sáng, các vùng này thường có màu trắng mờ, khác biệt với phần còn lại của răng.
Bề mặt răng trở nên nhám, không còn bóng
Lớp men răng khỏe mạnh thường có bề mặt bóng và trơn mịn. Khi bị tổn thương do axit, vùng bị sâu sẽ trở nên thô ráp, đôi khi có cảm giác “sần” khi dùng lưỡi chạm vào.
Ê buốt nhẹ khi ăn uống đồ ngọt hoặc lạnh
Mặc dù không gây đau dữ dội như sâu răng nặng, nhưng một số người ở giai đoạn sâu răng nhẹ có thể cảm nhận ê buốt thoáng qua khi ăn đồ quá lạnh, quá nóng hoặc nhiều đường. Điều này xảy ra khi men răng bắt đầu mỏng đi và không còn bảo vệ tốt lớp ngà bên trong.
Hơi thở có mùi hôi
Khi mảng bám tích tụ quá mức và không được làm sạch, vi khuẩn phân hủy thực phẩm tạo ra khí có mùi hôi. Nếu bạn nhận thấy hơi thở không còn thơm tho như trước dù đã đánh răng thường xuyên, đó có thể là một cảnh báo của sâu răng nhẹ.
Sâu răng nhẹ có tự khỏi không?
Câu trả lời ngắn gọn là không. Tuy sâu răng nhẹ không gây triệu chứng rõ ràng và có thể tạm thời “yên lặng”, nhưng nếu không điều trị, quá trình mất khoáng sẽ tiếp tục diễn ra và tiến triển sang giai đoạn sâu ngà, sâu tủy.
Tuy nhiên, điều tích cực là sâu răng nhẹ hoàn toàn có thể được phục hồi bằng các phương pháp tái khoáng hóa men răng nếu phát hiện sớm. Vì vậy, việc nhận biết và xử lý sớm là yếu tố quan trọng hàng đầu.

Các phương pháp điều trị sâu răng nhẹ
Việc điều trị sâu răng nhẹ không đòi hỏi đến khoan hay trám răng phức tạp như ở giai đoạn nặng. Tùy vào mức độ tổn thương men răng và thói quen sinh hoạt của người bệnh, nha sĩ có thể áp dụng các phương pháp sau:
Tái khoáng hóa bằng fluor
Fluor là thành phần quan trọng trong việc phục hồi men răng tổn thương. Nha sĩ có thể sử dụng các sản phẩm chứa fluor nồng độ cao như gel, vecni hoặc thuốc bôi Flouride trực tiếp lên vùng bị sâu. Fluor sẽ kết hợp với các khoáng chất khác trong nước bọt, giúp tái cấu trúc men răng và ngăn vi khuẩn phát triển.
Sử dụng sản phẩm chứa canxi-photphat
Bên cạnh việc bôi Flouride, các hợp chất như CPP-ACP (casein phosphopeptide – amorphous calcium phosphate) giúp cung cấp canxi và photphat trực tiếp cho vùng răng bị mất khoáng, hỗ trợ phục hồi men răng tự nhiên.
Vệ sinh răng miệng đúng cách
Điều quan trọng là loại bỏ mảng bám – nguyên nhân chính gây sâu răng. Việc chải răng đúng cách ít nhất 2 lần mỗi ngày, dùng chỉ nha khoa và súc miệng với nước muối sinh lý giúp giảm thiểu vi khuẩn gây hại trong khoang miệng.
Điều chỉnh chế độ ăn uống
Giảm lượng đường, hạn chế đồ uống có ga và tăng cường thực phẩm giàu canxi, fluor như sữa, cá, rau xanh sẽ góp phần củng cố sức khỏe men răng. Ngoài ra, bạn nên uống đủ nước để kích thích tiết nước bọt – yếu tố tự nhiên bảo vệ răng.
Biện pháp phòng ngừa sâu răng nhẹ
Phòng bệnh vẫn luôn là cách tốt nhất để duy trì hàm răng khỏe đẹp. Để hạn chế tối đa nguy cơ bị sâu răng nhẹ, bạn nên:
- Duy trì thói quen chăm sóc răng miệng đúng cách mỗi ngày.
- Tái khám nha khoa định kỳ 6 tháng/lần để kịp thời phát hiện sớm các tổn thương men răng.
- Sử dụng kem đánh răng chứa fluor hoặc các sản phẩm hỗ trợ men răng theo khuyến nghị của nha sĩ.
- Tránh ăn vặt nhiều lần trong ngày, nhất là những thực phẩm chứa đường hoặc tinh bột dễ lên men.
- Nếu có dấu hiệu khô miệng, nên nhai kẹo không đường hoặc uống nhiều nước để kích thích tiết nước bọt.
/https://cms-prod.s3-sgn09.fptcloud.com/nguyen_nhan_cach_dieu_tri_va_phong_ngua_rang_bi_sau_lo_to_1_3928a675a6.jpg)
Khi nào nên đến nha sĩ?
Ngay khi phát hiện các dấu hiệu như đốm trắng đục, bề mặt răng thô nhám, hơi thở có mùi hoặc ê buốt nhẹ khi ăn, bạn nên đến gặp nha sĩ để được kiểm tra và xử lý kịp thời. Đừng chờ đợi đến khi đau nhức mới đi khám, bởi lúc đó, men răng đã bị phá hủy nghiêm trọng và việc điều trị sẽ phức tạp, tốn kém hơn nhiều.
Kết luận
Sâu răng nhẹ tuy không phải là tình trạng nguy hiểm ngay lập tức nhưng lại là khởi đầu cho một chuỗi các vấn đề nghiêm trọng về răng miệng nếu không được chú ý đúng mức. Với khả năng phục hồi dễ dàng nếu phát hiện sớm, bạn hoàn toàn có thể ngăn chặn sâu răng nhẹ tiến triển nặng bằng những hành động đơn giản mỗi ngày.
Hãy yêu thương hàm răng của mình ngay từ hôm nay bằng việc chăm sóc đúng cách và thăm khám nha khoa định kỳ, để nụ cười luôn rạng rỡ và khỏe mạnh theo thời gian.
Tham khảo các dịch vụ nha khoa thẩm mỹ tại: https://nhakhoaparkway.com/
- Xu hướng tuyển sinh nào sẽ đảm bảo công bằng cho thí sinh?
- Cuối tuần 15-16/3: Top 3 con giáp bùng nổ tài lộc, làm gì cũng thuận lợi
- Phim 19+ mới chiếu đã được khen “hay xuất sắc”, nữ chính đã đẹp còn diễn đỉnh miễn bàn
- Đoạn clip casting “Lật mặt 8” đang viral ầm ĩ dù chỉ ngồi ăn mà không nói lời nào
- 3 tuổi vận đỏ rực rỡ trong 7 ngày cuối tháng 2 âm lịch, tài lộc có thừa, tiền của có dư
