Răng mọc trên lợi ở trẻ em là tình trạng không hiếm gặp, có thể gây đau, khó nhai và ảnh hưởng đến sự phát triển răng miệng lâu dài. Bài viết sau sẽ giúp cha mẹ hiểu rõ nguyên nhân, dấu hiệu và cách xử lý răng mọc trên lợi an toàn, hiệu quả, đảm bảo nụ cười khỏe mạnh cho trẻ.
Trong quá trình phát triển răng miệng của trẻ nhỏ, đặc biệt là trong những năm đầu đời, không ít bậc cha mẹ bối rối khi phát hiện con mình có dấu hiệu răng mọc không đúng vị trí. Một trong những tình trạng gây lo lắng phổ biến chính là răng mọc trên lợi ở trẻ em – tức răng sữa hoặc răng vĩnh viễn không mọc đúng vị trí mà thay vào đó lại trồi lên phần mô lợi phía trên hoặc lệch ra khỏi cung hàm.
Đây là hiện tượng có thể ảnh hưởng nghiêm trọng đến sự phát triển răng miệng của trẻ nếu không được phát hiện và xử lý kịp thời. Vậy răng mọc trên lợi ở trẻ em là gì? Có nguy hiểm không? Làm thế nào để xử lý hiệu quả, an toàn? Hãy cùng tìm hiểu toàn diện trong bài viết dưới đây.

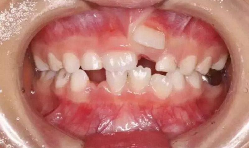
Răng mọc trên lợi ở trẻ em là gì?
Thông thường, răng sẽ mọc xuyên qua phần nướu để tiến vào vị trí trên cung hàm. Tuy nhiên, khi quá trình này xảy ra không đúng quy trình – do yếu tố bẩm sinh, sự chen chúc của các răng khác, hay ảnh hưởng từ thói quen xấu – răng có thể mọc lệch ra ngoài khuôn hàm, trồi lên vùng lợi, gây ra hiện tượng “răng mọc trên lợi”.
Hiện tượng này thường xảy ra ở giai đoạn trẻ thay răng sữa từ 6 – 12 tuổi. Một số trường hợp cũng có thể xuất hiện sớm hơn trong giai đoạn răng sữa mới mọc. Răng có thể nhú lên nhưng không mọc thẳng mà xiên vẹo, hoặc chỉ trồi một phần ra khỏi lợi mà không mọc hoàn chỉnh.
Dấu hiệu nhận biết răng mọc trên lợi ở trẻ
Cha mẹ có thể quan sát thấy một số dấu hiệu bất thường sau:
- Viêm lợi: Vùng lợi bị sưng, đỏ, trẻ có biểu hiện đau nhức, khó chịu, quấy khóc hoặc không muốn ăn.
- Có răng nhú lên ở vị trí không bình thường: Răng có thể mọc phía ngoài cung hàm, lệch hẳn ra phía má hoặc phía trong lưỡi.
- Hai răng mọc song song (răng mọc lệch khi răng sữa chưa rụng): Răng vĩnh viễn mọc trong khi răng sữa chưa rụng, dẫn đến hiện tượng “răng đôi hàng”.
- Hơi thở có mùi, trẻ kêu đau khi nhai: Do vùng lợi bị viêm nhẹ khi răng trồi sai vị trí, tích tụ mảng bám hoặc thức ăn mắc kẹt.

Nguyên nhân dẫn đến răng mọc trên lợi ở trẻ em
Hiểu được nguyên nhân sẽ giúp cha mẹ định hướng được cách xử lý phù hợp. Dưới đây là một số yếu tố phổ biến gây nên tình trạng răng mọc trên lợi ở trẻ em:
Răng sữa không rụng đúng thời điểm
Khi răng sữa không rụng theo đúng chu kỳ sinh học, răng vĩnh viễn bắt buộc phải tìm hướng khác để mọc lên, dẫn đến việc mọc lệch ra ngoài cung hàm.
Cung hàm hẹp, thiếu chỗ trống
Ở nhiều trẻ, đặc biệt là do yếu tố di truyền hoặc dinh dưỡng, xương hàm phát triển không đủ diện tích để chứa toàn bộ răng, dẫn đến tình trạng răng chen chúc, mọc lệch hoặc trồi trên lợi.
Chấn thương hoặc tác động ngoại lực
Khi trẻ bị va đập vào vùng miệng, cấu trúc răng có thể bị ảnh hưởng khiến răng mới mọc lên sai hướng.
Dị tật bẩm sinh hoặc di truyền
Một số trẻ có dị dạng hàm hoặc răng bẩm sinh dẫn đến sai lệch hướng mọc răng, hoặc răng mọc ở vị trí bất thường như giữa vòm miệng, trên lợi, thậm chí trong xoang.
Răng mọc trên lợi ở trẻ em có nguy hiểm không?
Tình trạng răng mọc trên lợi ở trẻ em nếu không được can thiệp sớm có thể gây ra nhiều hậu quả đáng ngại như:
- Gây sai lệch khớp cắn: Răng lệch làm mất sự cân bằng trong cách răng trên và răng dưới ăn khớp với nhau, ảnh hưởng tới khả năng nhai, phát âm.
- Ảnh hưởng đến thẩm mỹ khuôn mặt: Nếu răng mọc lệch rõ ràng, trẻ có thể tự ti, mặc cảm khi giao tiếp.
- Gây viêm lợi, sâu răng: Răng mọc sai vị trí dễ khiến thức ăn bị mắc kẹt, khó vệ sinh, tạo điều kiện cho vi khuẩn phát triển.
- Cản trở sự mọc bình thường của các răng khác: Một răng mọc sai có thể gây lấn chiếm, làm lệch các răng bên cạnh.
- Đau, viêm kéo dài: Một số trường hợp dẫn đến áp xe hoặc tổn thương mô mềm nếu không xử lý kịp thời.
Cách xử lý răng mọc trên lợi ở trẻ em: Từng bước an toàn, hiệu quả
Bước 1: Quan sát và theo dõi sát sao
Ngay khi cha mẹ phát hiện dấu hiệu bất thường như răng mọc lệch, sưng lợi hoặc răng mọc đôi hàng, hãy quan sát trong 1 – 2 tuần để xác định mức độ nghiêm trọng. Trong thời gian này, việc giữ vệ sinh răng miệng cho trẻ là điều kiện tiên quyết để tránh viêm nhiễm.
Bước 2: Đưa trẻ đến nha sĩ chuyên khoa nhi
Không nên tự ý nhổ răng tại nhà hoặc sử dụng mẹo dân gian chưa được kiểm chứng. Việc thăm khám chuyên môn giúp xác định chính xác nguyên nhân, vị trí răng mọc sai, và có kế hoạch xử lý cụ thể. Trong nhiều trường hợp, chụp X-quang răng là cần thiết để đánh giá tổng thể.
Bước 3: Can thiệp nha khoa đúng lúc
Tùy tình trạng cụ thể, nha sĩ có thể đưa ra các biện pháp sau:
- Nhổ răng sữa chưa rụng: Nếu răng sữa là nguyên nhân cản trở, việc nhổ răng sữa sớm sẽ tạo điều kiện cho răng vĩnh viễn mọc đúng hướng.
- Nắn chỉnh hướng mọc bằng khí cụ: Với các răng có xu hướng mọc lệch nhưng còn chưa trồi hoàn toàn, bác sĩ có thể sử dụng khí cụ chỉnh nha tạm thời để “dẫn hướng” răng mọc đúng.
- Niềng răng sớm (orthodontic interceptive): Một số trẻ sẽ được khuyến nghị can thiệp chỉnh nha sớm để điều chỉnh toàn bộ trật tự răng nếu có nguy cơ lệch cung hàm nghiêm trọng.
- Phẫu thuật (hiếm gặp): Trong trường hợp răng mọc ngầm, hoặc mọc sai trục hoàn toàn trong xương hàm, có thể cần can thiệp bằng tiểu phẫu dưới gây tê.

Chăm sóc răng miệng đúng cách để phòng tránh răng mọc trên lợi
Phòng bệnh luôn là giải pháp tối ưu hơn chữa bệnh, đặc biệt là với răng miệng trẻ em. Dưới đây là những lời khuyên thiết thực giúp cha mẹ hỗ trợ con có một hàm răng đều đẹp, khỏe mạnh:
- Tập cho trẻ đánh răng từ sớm: Từ 2 tuổi trở lên, trẻ nên được hướng dẫn cách đánh răng đúng cách ngày 2 lần.
- Kiểm tra răng định kỳ 6 tháng/lần: Nha sĩ sẽ giúp phát hiện sớm các bất thường về răng mọc và đề xuất giải pháp kịp thời.
- Không để trẻ dùng răng cắn vật cứng: Thói quen cắn bút, mở nắp chai, hay nhai đá có thể làm tổn thương răng và ảnh hưởng hướng mọc.
- Duy trì chế độ ăn giàu canxi và vitamin D: Giúp xương hàm và răng phát triển đúng cách, chắc khỏe.
- Hạn chế đồ ngọt và nước có ga: Tránh sâu răng và các bệnh về lợi, là nguyên nhân gián tiếp khiến răng mọc lệch.
Khi nào cần đưa trẻ đi khám gấp?
Cha mẹ cần đưa trẻ đi khám nha khoa tổng quát càng sớm càng tốt nếu gặp các dấu hiệu:
- Trẻ đau răng kéo dài, sưng lợi, sốt nhẹ.
- Răng mọc không đúng vị trí kèm chảy máu.
- Trẻ khó nhai, nói ngọng, hoặc tự ti khi giao tiếp do răng lệch.
Kết luận
Răng mọc trên lợi ở trẻ em tưởng chừng chỉ là một vấn đề nhỏ, nhưng nếu không xử lý đúng cách và kịp thời, có thể gây ảnh hưởng lớn tới sức khỏe răng miệng, thẩm mỹ và sự phát triển toàn diện của trẻ. Là bậc cha mẹ, bạn hoàn toàn có thể chủ động phòng tránh và phát hiện sớm bằng cách quan sát kỹ lưỡng, duy trì thói quen chăm sóc răng miệng đều đặn, và đặc biệt là đồng hành cùng nha sĩ trong từng giai đoạn phát triển răng miệng của con.
Hãy coi mỗi chiếc răng của trẻ là một “viên gạch nền tảng” trong ngôi nhà sức khỏe lâu dài, bởi một nụ cười khỏe mạnh luôn bắt đầu từ sự chăm sóc đúng lúc và đúng cách.
Tham khảo các dịch vụ nha khoa thẩm mỹ tại: https://nhakhoaparkway.com/
- Những lưu ý sau khi làm Nails tại Mỹ
- Tổng hợp những mẫu bàn thờ gia tiên đẹp – Tham khảo giá chuẩn nhất !
- Bộ sách Kết nối tri thức: Gỡ nút thắt theo hướng mở, sáng tạo
- Hướng dẫn cách áp dụng mã giảm giá khi mua hàng tại TGDĐ giúp bạn tiết kiệm rất nhiều chi phí
- Lý do nên chọn quạt đứng Panasonic trong thời điểm hiện tại
