Trẻ bị sâu răng hàm có mọc lại không? Khi nào nên đưa trẻ đi khám nha khoa? Tìm hiểu chi tiết về nguyên nhân, hậu quả và thời gian khám nha khoa trẻ em giúp bảo vệ sức khỏe răng miệng cho bé.
Sâu răng hàm là một trong những vấn đề răng miệng phổ biến nhất ở trẻ em, ảnh hưởng trực tiếp đến sức khỏe và phát triển của trẻ. Nhiều phụ huynh lo lắng khi bé bị sâu răng hàm, đặc biệt là thắc mắc nếu trẻ bị sâu răng hàm có mọc lại không? và khi nào nên đưa trẻ đi khám nha khoa? Bài viết này sẽ cung cấp những thông tin quan trọng, giúp cha mẹ hiểu rõ về sâu răng hàm ở trẻ, cách phòng ngừa và thời gian thích hợp để khám nha khoa trẻ em.

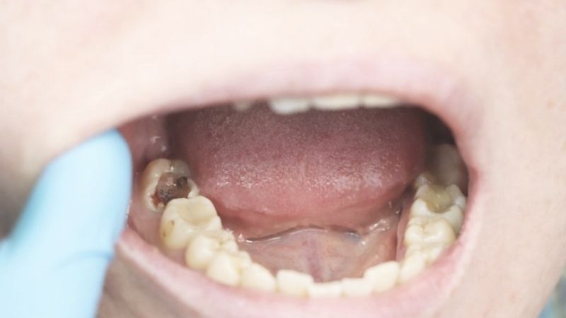
Sâu răng hàm ở trẻ em là gì?
Sâu răng hàm là tình trạng tổn thương mô cứng của răng hàm do vi khuẩn trong khoang miệng tạo ra axit phá hủy men răng và ngà răng. Ở trẻ em, răng hàm thường là những chiếc răng sữa hoặc răng vĩnh viễn mới mọc, rất dễ bị sâu do cấu trúc men răng còn mềm và chưa hoàn thiện.
Răng hàm có vai trò quan trọng trong việc nhai, nghiền thức ăn, nên sâu răng tại vị trí này có thể ảnh hưởng lớn đến quá trình ăn uống và sức khỏe tổng thể của trẻ.
Nguyên nhân trẻ bị sâu răng hàm
Vệ sinh răng miệng kém: Trẻ thường chưa biết cách chải răng đúng, dẫn đến mảng bám thức ăn tích tụ.
Chế độ ăn nhiều đường: Thức ăn ngọt, nước ngọt có ga tạo điều kiện cho vi khuẩn phát triển.
Thiếu fluor: Fluor giúp bảo vệ men răng, thiếu fluor làm răng yếu dễ sâu.
Răng mọc lệch, kẽ răng hẹp: Thức ăn dễ mắc kẹt, khó làm sạch.
Thói quen bú bình đêm: Sữa hoặc nước trái cây đọng lại trên răng gây sâu răng sữa.
Di truyền: Một số trẻ có men răng yếu bẩm sinh.
Nếu trẻ bị sâu răng hàm có mọc lại không?
Đây là câu hỏi phụ huynh rất quan tâm. Câu trả lời phụ thuộc vào loại răng bị sâu:
1. Răng Sữa
Răng sữa bị sâu nếu được điều trị đúng cách có thể được bảo vệ lâu dài cho đến khi rụng tự nhiên. Tuy nhiên, răng sữa bị sâu nghiêm trọng và phải nhổ bỏ thì không mọc lại chiếc răng sữa đó nữa. Thay vào đó, răng vĩnh viễn sẽ mọc lên ở vị trí đó sau vài năm.
Điều quan trọng là giữ cho răng sữa khỏe mạnh đủ lâu để răng vĩnh viễn có đủ không gian mọc đúng vị trí, tránh tình trạng răng mọc lệch hoặc chen chúc.
2. Răng Vĩnh Viễn
Răng vĩnh viễn bị sâu nếu không được điều trị kịp thời có thể dẫn đến mất răng vĩnh viễn, và răng này sẽ không mọc lại. Việc mất răng vĩnh viễn sớm có thể gây lệch khớp cắn, ảnh hưởng đến thẩm mỹ và chức năng ăn nhai.
Hậu quả của sâu răng hàm ở trẻ
Đau nhức, khó chịu: Gây ảnh hưởng đến ăn uống, giấc ngủ và sinh hoạt hàng ngày.
Viêm nhiễm lan rộng: Có thể gây áp xe, nhiễm trùng nặng nếu không được xử lý.
Mất răng sớm: Ảnh hưởng đến sự phát triển hàm và răng vĩnh viễn.
Khó khăn trong việc nhai: Gây suy dinh dưỡng và ảnh hưởng đến tiêu hóa.
Tự ti, ngại giao tiếp: Do hình dáng răng xấu và hôi miệng.
Ảnh hưởng đến phát âm: Răng hàm ảnh hưởng đến khả năng phát âm chuẩn.

Thời gian tham khám nha khoa trẻ em lý tưởng
Theo khuyến cáo của các chuyên gia nha khoa:
Khám răng lần đầu: Nên đưa trẻ đi khám răng lần đầu khi bé được 6 tháng tuổi hoặc ngay khi chiếc răng đầu tiên mọc.
Khám định kỳ: Từ 6 tháng đến 1 năm một lần để theo dõi và phòng ngừa sâu răng, các vấn đề răng miệng khác.
Khám khi có dấu hiệu bất thường: Nếu trẻ có dấu hiệu đau răng, sưng tấy, chảy máu nướu hoặc sâu răng thì cần đưa đi khám ngay.
Việc khám nha khoa sớm giúp phát hiện các vấn đề kịp thời và tư vấn cách chăm sóc răng miệng phù hợp cho trẻ.
Lợi ích của việc khám nha khoa định kỳ cho trẻ
Khám nha khoa trẻ em mang lại nhiều lợi ích quan trọng cho sức khỏe răng miệng và sự phát triển toàn diện của trẻ. Dưới đây là một số lợi ích chính:
Phát hiện sớm sâu răng và các bệnh lý khác.
Hướng dẫn vệ sinh răng miệng đúng cách cho bé và phụ huynh.
Tiêm fluoride hoặc bôi fluoride giúp tăng cường men răng.
Niềng răng sớm nếu phát hiện sai lệch khớp cắn.
Tạo thói quen chăm sóc răng miệng từ nhỏ, giúp trẻ không sợ nha khoa.
Cách phòng ngừa sâu răng hàm cho trẻ
Hướng dẫn trẻ chải răng ít nhất 2 lần/ngày bằng bàn chải lông mềm và kem đánh răng có fluoride.
Hạn chế cho trẻ ăn đồ ngọt, bánh kẹo, nước ngọt có ga.
Không để trẻ bú bình sữa hoặc nước trái cây qua đêm.
Khuyến khích trẻ uống nhiều nước lọc để làm sạch khoang miệng.
Đưa trẻ đi khám nha khoa định kỳ và thực hiện bôi fluoride hoặc trám răng khi cần thiết.
Giữ vệ sinh dụng cụ ăn uống của trẻ sạch sẽ.
Lưu ý khi chăm sóc răng miệng cho trẻ
Trẻ nhỏ cần sự hỗ trợ và giám sát của người lớn khi chải răng.
Không dùng bàn chải quá cứng gây tổn thương nướu.
Dạy trẻ súc miệng sau khi ăn để giảm mảng bám.
Tránh cho trẻ ăn quá nhiều đồ ăn dính hoặc lâu tan trong miệng.
Thường xuyên theo dõi tình trạng răng miệng của trẻ để phát hiện sớm các dấu hiệu bất thường.
Câu hỏi thường gặp
Trẻ bị sâu răng có nên nhổ răng không?
Nếu răng sâu nặng, không thể phục hồi, bác sĩ có thể chỉ định nhổ để tránh lây lan vi khuẩn và bảo vệ các răng khác.
Răng sâu có thể tự lành không?
Sâu răng không thể tự lành mà cần được điều trị bằng phương pháp trám hoặc bọc răng sứ tùy tình trạng.
Trẻ có thể niềng răng khi nào?
Thường bắt đầu niềng răng khi trẻ từ 7 tuổi trở lên, tùy vào tình trạng răng và phát triển hàm.
Có nên cho trẻ uống fluor không?
Fluoride giúp tăng cường men răng nhưng cần dùng đúng liều lượng theo hướng dẫn bác sĩ.
Kết luận
Sâu răng hàm là vấn đề thường gặp và cần được quan tâm đúng mức ở trẻ em. Trẻ bị sâu răng hàm ở răng sữa sẽ không mọc lại chiếc răng đó, nhưng răng vĩnh viễn sẽ thay thế sau đó. Tuy nhiên, răng vĩnh viễn bị sâu sẽ không thể mọc lại nếu mất đi, do đó cần chăm sóc và điều trị kịp thời. Khám nha khoa trẻ em định kỳ là cách tốt nhất để phòng ngừa và phát hiện sớm sâu răng, giúp trẻ có hàm răng khỏe mạnh, phát triển toàn diện. Phụ huynh nên đưa trẻ đi khám nha khoa theo lịch khuyến cáo và xây dựng thói quen vệ sinh răng miệng đúng cách cho bé từ nhỏ.
Tham khảo: Nhakhoaparkway
- 6 tips “cấp cứu” lỗ chân lông to và mang lại làn da mịn màng, khỏe mạnh hơn
- Cuối ngày hôm nay (8/3/2025), 3 tuổi Tiền vào cửa trước,Vàng vào cửa sau, rủ nhau gánh lộc
- Có nêm mua máy lạnh Mitsubishi electric inverter 1 hp msy-jp25vf
- Lưu ngay: Từ 1/4/2025, BHXH sẽ từ chối giải quyết hồ sơ nếu chưa cập nhật CCCD
- Học sinh Tp.HCM được miễn học phí







