Nong hàm là kỹ thuật chỉnh nha quan trọng giúp mở rộng cung hàm, điều trị tình trạng hẹp hàm và cải thiện khớp cắn. Bài viết giải thích chi tiết quy trình nong hàm, đối tượng phù hợp, phương pháp thực hiện và chi phí tại các nha khoa uy tín. Bạn sẽ biết được nha khoa thẩm mỹ có thực hiện nong hàm không, quá trình có đau không và những lưu ý cần thiết trước khi thực hiện.
Nong hàm là một phương pháp điều trị trong nha khoa thẩm mỹ nhằm cải thiện cấu trúc hàm và nụ cười của bệnh nhân. Trong bài viết này, chúng ta sẽ tìm hiểu về quy trình nong hàm, lợi ích, cũng như những câu hỏi thường gặp liên quan đến phương pháp này.

1. Nong hàm là gì?
Nong hàm là một kỹ thuật trong nha khoa nhằm nới rộng cung hàm, tạo khoảng trống cho răng dịch chuyển trong quá trình niềng răng. Phương pháp này giúp cải thiện cấu trúc khuôn mặt và tăng diện tích khoang miệng.
1.1. Khái niệm nong hàm
Nong hàm (Palatal Expansion) là phương pháp mở rộng cung hàm bằng các khí cụ nha khoa chuyên dụng, giúp điều chỉnh hẹp hàm trên, tạo khoảng trống cho răng mọc đúng vị trí hoặc chuẩn bị cho các phương pháp chỉnh nha khác.
1.2. Mục đích của nong hàm
Điều trị hẹp hàm – Giúp hàm trên mở rộng, cân đối với hàm dưới.
Tạo khoảng trống cho răng – Hỗ trợ niềng răng, tránh nhổ răng không cần thiết.
Cải thiện khớp cắn – Giảm tình trạng cắn chéo, cắn hở.
Tăng thẩm mỹ khuôn mặt – Giúp gương mặt hài hòa hơn.
2. Đối tượng nào cần nong hàm?
2.1. Trẻ Em (6-15 Tuổi)
Xương hàm chưa cứng chắc, dễ nong rộng mà không cần phẫu thuật.
Giúp răng vĩnh viễn mọc đúng vị trí, tránh tình trạng răng mọc chen chúc.
2.2. Người Lớn
Nếu hàm quá hẹp, bác sĩ có thể kết hợp nong hàm và phẫu thuật (SARPE).
Thường áp dụng trước khi niềng răng để đạt hiệu quả cao hơn.
3. Các phương pháp nong hàm
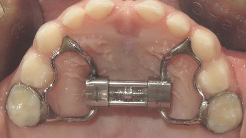
3.1. Nong Hàm Nhanh (Rapid Palatal Expansion – RPE)
Sử dụng khí cụ cố định gắn vào răng hàm, điều chỉnh bằng chìa khóa mỗi ngày.
Thời gian: 2-3 tuần, sau đó đeo duy trì 3-6 tháng.
3.2. Nong Hàm Chậm (Slow Palatal Expansion)
Dùng khí cụ tháo lắp, mở rộng hàm từ từ.
Phù hợp với trẻ nhỏ, ít gây đau hơn.
3.3. Nong hàm kết hợp phẫu thuật
Áp dụng cho người trưởng thành khi xương đã cứng.
Bác sĩ sẽ rạch một đường nhỏ ở vòm miệng để hỗ trợ nong hàm.
4. Nha khoa thẩm mỹ có thực hiện nong hàm không?
CÓ, nhiều phòng khám nha khoa thẩm mỹ cung cấp dịch vụ nong hàm, nhưng cần lưu ý:
Chọn nha khoa uy tín có bác sĩ chỉnh nha giàu kinh nghiệm.
✔ Trang thiết bị hiện đại (máy chụp X-quang, CT 3D) để đánh giá chính xác.
✔ Tư vấn kỹ lưỡng trước khi thực hiện.
⚠ Lưu ý: Nong hàm là kỹ thuật chuyên sâu, không phải phòng khám nào cũng đủ điều kiện thực hiện.

5. Quy trình nong hàm chi tiết
Quy trình nong hàm là một quá trình quan trọng trong chỉnh nha, giúp nới rộng cung hàm để tạo không gian cho răng dịch chuyển. Dưới đây là quy trình chi tiết:
5.1. Bước 1: Thăm khám & chụp x-quang
Bác sĩ kiểm tra cấu trúc hàm, chụp phim toàn cảnh hoặc CT 3D.
5.2. Bước 2: Lắp khí cụ nong hàm
Khí cụ được gắn vào răng hàm và điều chỉnh theo lịch trình.
5.3. Bước 3: Theo dõi & điều chỉnh
Bệnh nhân tự vặn khí cụ tại nhà hoặc đến nha khoa điều chỉnh định kỳ.
5.4. Bước 4: Tháo khí cụ & duy trì
Sau khi đạt kết quả, bệnh nhân đeo hàm duy trì để ổn định kết quả.
6. Nong hàm có đau không?
Hơi khó chịu trong 1-2 ngày đầu do lực tác động lên xương.
Có thể ê buốt nhẹ khi ăn nhai, nhưng sẽ giảm dần.
Bác sĩ có thể kê thuốc giảm đau nếu cần.
7. Chi phí nong hàm bao nhiêu?
| Loại Nong Hàm | Chi Phí (VNĐ) |
| Nong hàm nhanh (RPE) | 8 – 15 triệu |
| Nong hàm chậm | 5 – 10 triệu |
| Nong hàm kết hợp phẫu thuật (SARPE) | 20 – 40 triệu |
Giá có thể thay đổi tùy nha khoa và tình trạng bệnh nhân.
8. Những lưu ý khi nong hàm
Vệ sinh răng miệng kỹ để tránh viêm nhiễm.
Ăn thức ăn mềm, tránh đồ dai cứng.
Tái khám đúng lịch để điều chỉnh khí cụ.
Báo ngay cho bác sĩ nếu có dấu hiệu bất thường.
Kết luận
Nong hàm là phương pháp hiệu quả để điều trị hẹp hàm, cải thiện khớp cắn và thẩm mỹ khuôn mặt. Nha khoa thẩm mỹ có thực hiện nong hàm, nhưng cần chọn địa chỉ uy tín để đảm bảo an toàn. Nếu bạn đang gặp vấn đề về cung hàm hẹp, hãy đến nha sĩ để được tư vấn cụ thể!
Tham khảo: Nhakhoaparkway
- Bao lâu thì nên bảo dưỡng ô tô? Cách bảo dưỡng ô tô ngay tại nhà
- Ích lợi khi sài quạt điều hòa không khí Rapido everest 3000-d
- Từ nay tới 31/12/2025: Sáp nhập tỉnh thành, người dân không đi đổi CCCD sang căn cước mới, bị phạt 4 triệu đúng không?
- Long Châu:”Địa chỉ đỏ” in đậm tình đoàn kết Việt – Trung
- Xót xa hành động đặc biệt con trai Quý Bình dành cho mẹ trong đám tang của nam diễn viên







